Інновація просуне науку у вдосконаленні терапії цього небезпечного захворювання.
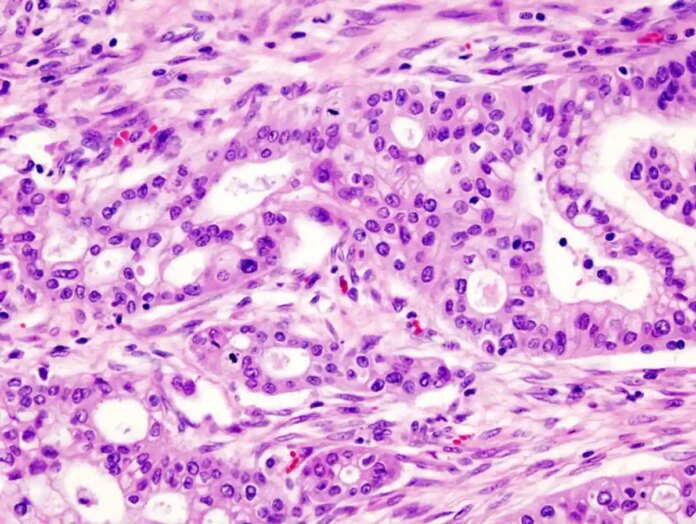
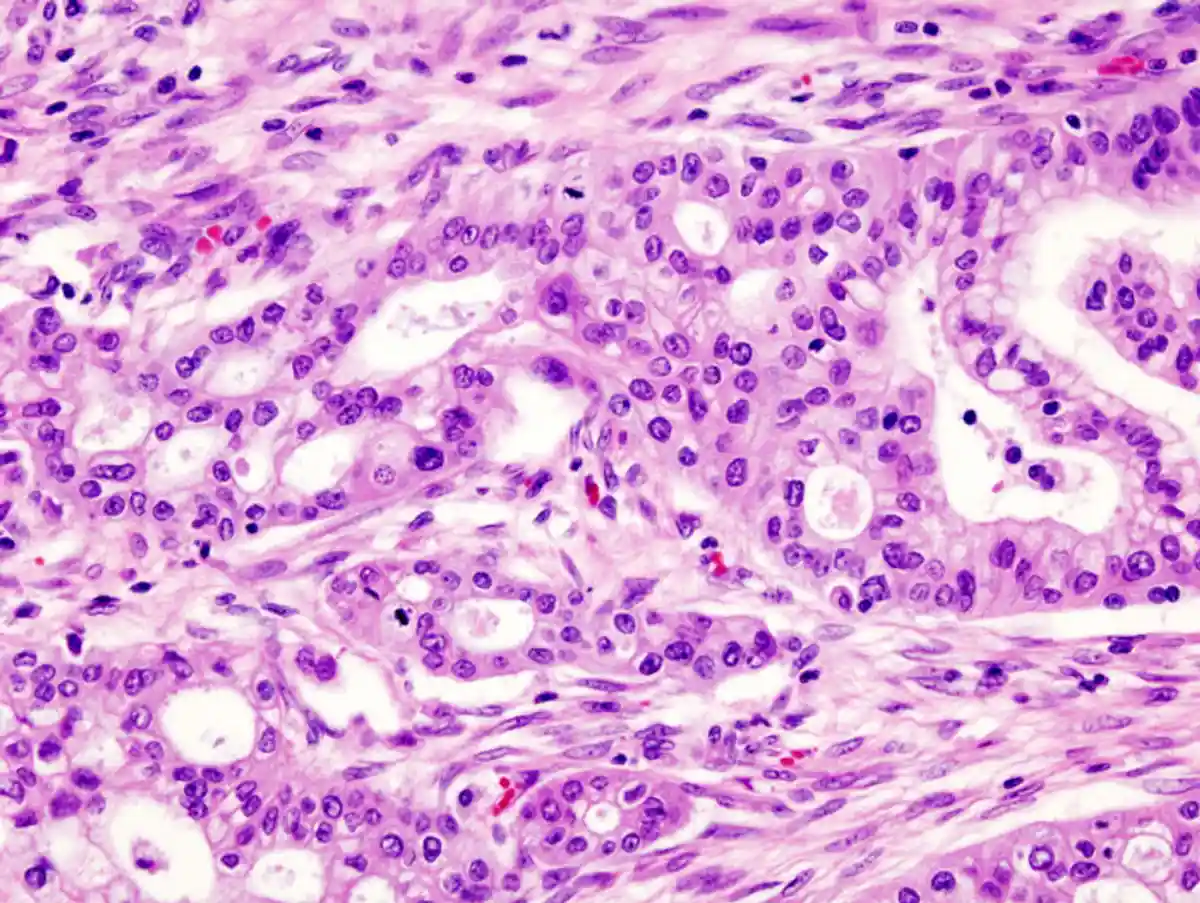
Вчені Мюнхенського технічного університету вперше розробили тривимірні моделі злоякісної пухлини підшлункової залози. В онкології цей різновид раку вважається одним із найскладніших і непередбачуваних. За словами розробників, нова зброя враховує підводне каміння і тепер їхня модель дозволить створити інноваційні підходи у лікуванні раку підшлункової залози.
Нова зброя та підступний ворог
Рак підшлункової залози вважається особливо підступним. З одного боку, як і більшість злоякісних болячок, він себе довго не виявляє.
Зараз, як повідомляють німецькі онкологи, можна говорити про новий крок на шляху до лікування цього різновиду раку.
«Об'єднання пухлинних клітин мають форму залоз із безліччю відгалужень, схожих на протоки. Звичайна процедура моделювання просто поєднує клітини за формулою 1+1=2. У природі це не працює. Наша модель враховує зміни, які відбуваються при поєднанні розрізнених ракових клітин, – розповідає експерт. — Тепер ми вперше можемо скласти мапу різноманітності злоякісних структур підшлункової залози у лабораторії».
Більше того, модель показує агресивну поведінку реальних ракових клітин та їхню відповідь на медичне втручання. Це, своєю чергою, дозволяє проводити тести для пошуку ефективних методів лікування захворювання.
Надія для десятків тисяч німців
Розуміння «ракової спеціалізації» у разі підшлункової залози дозволить вченим розробляти препарати, націлені кожен окремий вид клітин. А терапія, що почалася, дозволить ще глибше розділяти клітини на «підвиди» і точніше бити в ціль.

Щорічно по даними Інформаційної служби раку онкологічні патології підшлункової залози медики діагностують у 20 000 німців. Ризик захворіти збільшується із віком. При цьому якість життя в ході розвитку цього раку знижується радикально. У хворих відзначають такі симптоми:
- Втрата ваги приблизно 90% випадків.
- Біль у ділянці шлунка або спини виникає приблизно у 80%.
- Жовтяниця (близько 70%).
- Втрата апетиту та нудота (40–50%).
- Цукровий діабет (15%).

















